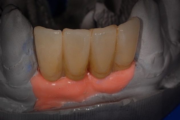
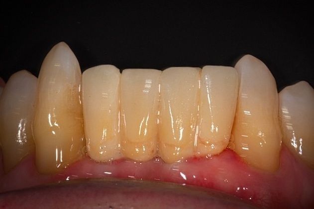
Implant Replacement of Mandibular Anterior Segment: When lower front teeth fracture!
Description
An end-to-end bite relationship finally fractured the lower front teeth. They had previously been treated with root canals. We used dental implants to restore his appearance and health.






