All-on-4 Dental Implants Austin
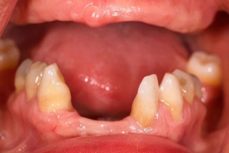
Patients with missing teeth can experience a host of benefits with dental implants, but not all patients qualify for traditional implants.
Using the All-on-4® method, patients who would otherwise need bone grafting may qualify for dental implants right away.
Dr. David J. Tasch and Dr. Mike Meek in Austin, TX, can perform this advanced dental implant procedure to make you smile again.

What Is the All-on-4 Method?
What Makes All-on-4 Different From Dentures? Dr. Mike Meek Offers a Straightforward Explanation
Don't Suffer With Missing Teeth Schedule a consultation at our Austin dentistry practice today!
Have you looked into dental implants only to wind up feeling discouraged because you were told you would need extensive preparatory work? The All-on-4 method allows more people than ever to take advantage of the amazing benefits that dental implants provide, and we are here to help.
Dr. Meek and Dr. Tasch have been in practice since 1997 and have helped many patients start a new chapter of health and confidence in their lives through dental implant treatment. Contact us online today to see if you qualify for this amazing restorative treatment, or call:
(512) 458-6222

What Austin, TX, Says About 38th Street Dental State-of-the-Art and Patient-Centered Care
The whole experience was pain free and all of my questions were answered. If you have dentist anxiety this is the place for you, trust me! :)
View on Google
Always a five-star. I've been seeing Dr. Meek for years and he, as well as his office staff, are excellent.
How Much Do All-on-4 Dental Implants Cost?
The price of All-on-4 treatment can vary based on the needs of the patient. Additional dental procedures that have to be performed before implant placement will affect the final cost of the procedure.
While dental insurance will not cover the cost of implants, there is a chance that your insurance will cover the dental prosthetic.
During your visit to our Central Austin office, we can go over pricing and answer any questions you may have about this investment in your health.
Your New Smile Is In Reach
Financing Is Available
At 38th Street Dental in Austin, TX, we accept CareCredit® financing to help make your All-on-4 treatment more affordable. Call us today to learn more about this option to finance your dental treatment with little or no interest.
Concerned About Cost? We Have You Covered We'll Always Be Upfront About Prices and Financing
"Just a wonderful place. Dental care usually scares me but 38th Street Dental is a nice and friendly place with staff that works hard in being open and honest about dental care. They are upfront about the cost and try to work with you. I highly recommend them." Tomas Rodriguez
Qualifying for All-on-4 Treatment Who Is a Good Candidate for This Procedure?
While All-on-4 has numerous benefits, not everyone is an ideal candidate for treatment. Good candidates for All-on-4 are:
In Good General Health
To qualify for All-on-4 treatment, you should be healthy enough to undergo oral surgery. Diabetic patients will need to have stabilized glucose levels. Smokers will need to cease smoking since smoking has been linked to an increased risk of implant failure.
Committed to Good Oral Health
Maintaining good oral hygiene is critical to your oral health. It is important to practice good oral hygiene after receiving dental implants and your denture to not only keep your mouth healthy, but also maintain your beautiful new smile for years to come.
Seeking a Faster Track to Full-Arch Restoration
If you have spoken to a dentist about dental implant-supported dentures only to be told that you will need bone grafting and several months of healing time first, All-on-4 can provide you with a faster solution. Plus, All-on-4 implants can support a denture right away.
More High Praise for Our Austin, TX, Practice Kindness and Professionalism with Cutting-Edge Technology
I have to say that the entire office staff is very friendly and professional and that the phrase “I hate to go to the dentist” doesn’t apply here.
View on GoogleEveryone at 38th Street is so professional and kind. They always listen to my concerns, and give me the BEST treatment plan, that I can afford.
View on GoogleWe Perform Advanced Dental Implantology While Keeping You at Ease
We understand that dental phobia may cause certain patients to avoid getting the treatment they need to achieve a healthy, beautiful smile — especially when there’s surgery involved. Fortunately, we offer sedation dentistry to keep our patients at ease every step of the way.
Dental Sedation Helps Ensure Patient Comfort
Our sedation options — including oral sedation and nitrous oxide — can be ideal for those who are anxious to visit the dentist or who are undergoing several dental procedures.
For more information about how sedation dentistry can fit into your personalized treatment plan for getting All-on-4 dental implants, reach out to our Austin, TX, practice today.
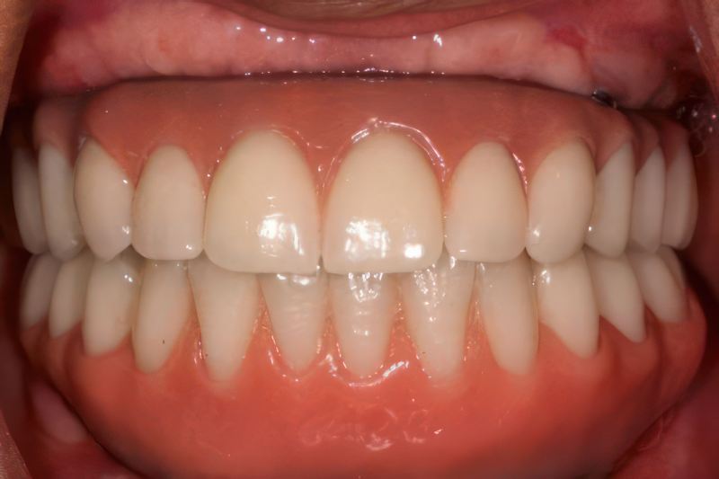
What to Expect During Your All-on-4 Treatment
Get a beautiful full set of dentures all on four carefully placed dental implants. The results can provide a full mouth rehabilitation.
Need Help During Your Recovery? Contact Our Austin Practice Anytime!

The team at 38th Street Dental is proud to serve Austin, Round Rock, Cedar Park, and the entire surrounding community.
Although rare, if you experience significant pain during recovery that cannot be managed at home, please call our Austin, TX, dental practice immediately. We will get you in as soon as possible to evaluate your healing and determine if there is an urgent problem.
Our office is also happy to answer questions about the All-on-4 process before and after your treatment. Don't hesitate to contact us after your surgery with concerns or questions. We are always happy to help. Contact our Austin, TX, practice today to get your All-on-4 treatment started.
(512) 458-6222
What Patients Have to Say About Our Top-Notch Care We Give Patients Throughout Texas a Reason to Smile
Can’t say enough about this practice … they are definitely top notch! And pricing is very reasonable as well. Thanks!
View On Google
Dr. Meek is fantastic as are all of the other staff!! I received wonderful care and attention throughout my visit. 5++stars
What to Do If Problems or Emergencies Arise Professional All-on-4 Aftercare
Issues may come up despite your good oral hygiene and regular dental visits. Should you run into any problems after All-on-4 treatment, our team is equipped to handle them.
If your complete denture gets worn or damaged, we can repair the appliance or replace the implant-supported prosthetic with a new one. We can also help assess the state of your implants following an accident or any kind of worrisome oral trauma.
Our dentists know just how life-changing All-on-4 can be. That is why they strive to ensure the results of your treatment will last for years to come.
The team at 38th Street Dental will provide you with detailed instructions to properly care for your new smile.
All-on-4 FAQs
How Long Do All-on-4 Implants Last?
With proper care, your dentures can last around ten years, but your dental implants can last a lifetime. Maintaining good oral hygiene is the best way to extend the lifespan of your implants and restoration.
Can I Eat Normally After All-on-4 Treatment?
One of the major benefits of dental implants is there is no risk of your dentures sliding out of place while eating or speaking. Once your implants have fully healed, you can eat virtually anything, even hard, sticky, and crunchy foods.
How Painful Is Implant Surgery?
You should feel little to no pain during the procedure due to the local anesthetic and sedation. It is normal, however, to experience pain in the three to five days following your procedure. Any discomfort following surgery can be managed with over-the-counter medications or by following your dentist's instructions.
Do All-on-4 Implants Feel Bulky?
Dental implants become a permanent fixture in your mouth and act as a sturdy base for your life-like dentures. Unlike traditional dentures that can easily slide out of place, implant-supported dentures stay firmly in place and feel natural. Your new smile will look and function like healthy, natural teeth.
So I Don't Need One Implant Per Missing Tooth?
It is a common misconception that each missing tooth requires its own implant, but that is not the case. Fortunately, replacing teeth with dental implants doesn't have to be a 1:1 process. An entire denture on the upper or lower arch can be supported with as few as four implants when you choose a distinguished and reputable practice.
5-Star Reviews for Our Austin Dentists Putting the Health and Wellness of Patients First
My entire family has been going to Dr. Tasch for years. I have never had anything but great experiences. He is a talented dentist, the staff is top notch, the equipment state of the art and the office is lovely!
View on GoogleGreat experience from start to finish. First time visiting the dentist since the pandemic and I selected the right office. Nice use of technology to make the appointment convenient and wonderful people every step of the patient journey.
View on Google













