
Dental Bridges
What Is a Dental Bridge?
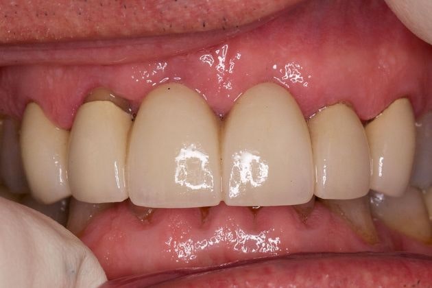
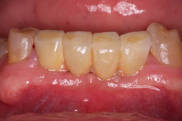
A Smile Transformation With a Traditional Dental Bridge


Superior Restorative Dentistry The 38th Street Dental Approach
Restorative dentistry can be complicated, so it is important to seek treatment from skilled, detail-oriented professionals. Drs. Tasch and Meek are known for their exceptional level of high-quality care. If you are ready to stop suffering with an incomplete smile, contact our Austin, TX, practice today. You can request a one-on-one consultation with our dentists by sending us a message online, or by calling:
(512) 458-6222

38th Street Dental is the best! Dr. Meek and staff always make you feel welcome. They don't treat you like the typical no-name patient; they treat you like one of their own and make you feel special! They have state of the art equipment which makes treatment plans spot-on and more efficient and effective... I highly recommend 38th Street Dental... Great Job Dr. Meek and Team!
View on GoogleI was recommended this office by a coworker. I was so nervous because I don’t like the dentist and I had not had a cleaning in a while. From the front office staff to the hygienists to my dentist I felt a very warm welcome! Regina gave me the best cleaning I’ve ever had! The whole experience was pain free and all of my questions were answered. If you have dentist anxiety this is the place for you, trust me! :)
View on GoogleWhy Visit Us for Your Dental Bridge Placement?
Advanced Technology
Our Austin, TX, office strives to stay on the cutting edge of dental technology to provide the best outcomes. Our 3D computed tomography (CT) scanning technology allows us to get precise images of your teeth, soft tissues, and nerves in a single scan. These images are much more detailed than a traditional X-ray. We use the highest quality materials to create dental crowns, bridges, and dentures that seamlessly blend with your smile.
Our Dentists
Both our dentists pride themselves on providing the most advanced treatments to help you achieve your oral health and cosmetic goals. They use their experience and state-of-the-art tools to enhance and restore your smile's look, health, and function. In addition to providing high-quality treatments, Dr. Meek and Dr. Tasch care about their patients and their oral health goals. They take the time to understand your concerns to help create your dream smile.
Customized Treatments
We offer multiple treatment options to get your smile looking and functioning at its best. Our dentists can create a customized treatment plan to address every oral health or cosmetic concern. We offer traditional and advanced implant-supported restorations to replace a missing tooth or several missing teeth. Our dentists will consider your oral health and cosmetic goals to determine which dental bridge option will achieve the best results.
Dental Bridge Candidacy
Extent of Tooth Loss
First, we will talk about options for the number of teeth you are missing. If you have more than three missing teeth, a partial denture may be a better form of treatment. If you have one missing tooth, we may recommend an implant-supported crown rather than a traditional bridge.
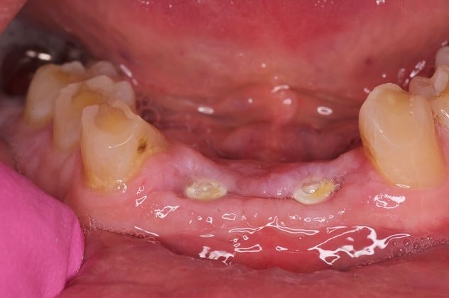
Abutment Teeth
Next, our dentist will assess the condition of your natural teeth. The teeth on either side of the gap in your smile need to be strong enough to support a traditional bridge. If these teeth are severely compromised, we may suggest extractions and an implant-supported partial denture instead.
Jawbone Density
Implant-supported bridges require a strong, healthy jawbone to be successful. If you have suffered jaw recession due to long-term tooth loss, you may be better suited for a traditional bridge than dental implants. However, it may be possible to restore your candidacy with bone grafting, which we can coordinate with an oral surgeon. It is important to note that even traditional bridges can require bone grafting if the bone recession is advanced.
Overall Health
Implants involve a surgical procedure. If you smoke or suffer from conditions like uncontrolled diabetes, you may be at an increased risk for complications during treatment. Our dentists will review your medical history so we can determine if an implant-supported or traditional bridge will be right for you.
Find Out If You're a Candidate Contact Our Austin, TX, Practice
When left untreated, a missing tooth can lead to multiple oral health issues and decreased functionality of your teeth and jaw. Our dentists can assess your oral health needs and goals to determine if you're a dental bridge candidate during your consultation. The quicker a missing tooth is addressed, the less damage it can cause.
Don't wait for your oral health to worsen if you're missing a tooth or multiple teeth. Contact our Austin, TX, practice today to request your dental bridge consultation.
(512) 458-6222
Everyone at 38th Street is so professional and kind. They always listen to my concerns, and give me the BEST treatment plan, that I can afford.
View on GoogleI received fantastic care from the first contact by phone, and then from moment I walked in through the door until I left... I received wonderful care and attention throughout my visit. 5++stars
View on GooglePlacing a Traditional Dental Bridge
Here's what to expect when receiving a bridge at our practice:
Our bridges are handcrafted from premium materials to mimic the color and shape of your natural teeth.
Excellent Results Using Dental Implants


As a patient for almost 12 years I could not be happier with the service and people at 38th St. Dental!!
View on GoogleKnowledgeable and professional staff (both administrative and technical staffs).
View on Google


