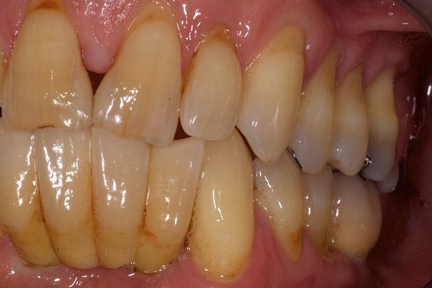
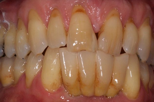
Implant Replacement of Mandibular Anterior Segment: When gum disease destroys the lower front teeth...
Description
Photos shown are outcome or "after" only. No pre-op's were available. This client had been a periodontal maintenance patient in a partner periodontal practice. His lower front teeth finally became mobile and required removal. Two dental implants were placed and he presented to my practice 4 months post-op for fabrication of the mandibular prosthesis. One set of conventional impressions was used to record the physical data needed for the fabrication of his replacement teeth. His arch was constricted and his original teeth were crowded. He was interested in a "natural" restoration that would look like he always looked. I call this aesthetic dentistry and I love a good challenge. Our ceramist did an outstanding job of producing a natural outcome. It was delivered without the need for surgery or local anesthetic. On completion, the patient asked, "How did you guys know what I looked like?" I smiled and told him we just got lucky knowing better about my prosthetic team!





