
Veneers Austin
Dr. Mike Meek and Dr. David J. Tasch can mask dental flaws and transform your teeth with stunning, porcelain veneers. Find out why veneers are such a popular option among our patients in the greater Austin, TX, region...
Wanting to Improve Your Smile Is Totally Natural
In 2021, One Pulse surveyed Americans from ages 18 to 64, showing just how in-demand cosmetic dental enhancements are.
Veneers are one of the best possible options for achieving these goals, as well as many more. Our expert dentists offer various veneer options and are here to help you smile with confidence.
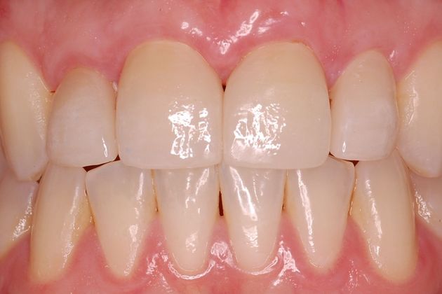
Check Out the Results of Our Dental Veneers
How Much Do Veneers Cost?
At 38th Street Dental, the cost of veneers can vary based on factors like case complexity and numbers of teeth involved. Depending on these factors, veneer costs typically range from $1,600 to $2,000 per tooth. We manage to keep our prices fair and low compared to industry averages while maintaining the highest quality standards.
To help make treatment more affordable and accessible, our practice accepts flexible financing plans through CareCredit® and Lending Club.
We encourage you to schedule a consultation with one of our doctors to receive a personalized cost estimate.
Ready For a Change? Schedule an Appointment at 38th Street Dental
You don’t need to go through life feeling self-conscious about your smile. Our modern practice offers a full range of state-of-the-art cosmetic dentistry, including modern dental veneers. Drs. Meek and Tasch will be happy to meet with you to discuss your options and help you make the best decision for your dental care. In just a few simple appointments, we can transform less-than-perfect teeth into a gorgeous movie star smile. Get started today and begin to enjoy life with better self-confidence. You can reach our Austin, TX, dental practice online or by calling:

If You're Looking for a Great Dentist, the Search Is Over
38th Street Dental is the best! Dr. Meek and staff always make you feel welcome. They don't treat you like the typical no-name patient; they treat you like one of their own and make you feel special! They have state of the art equipment which makes treatment plans spot-on and more efficient and effective. Surprisingly their prices are quite reasonable as well.
View on GoogleI love Dr. Tasch and this practice. Dr. Tasch truly listens, and I'm so lucky to have found him. Everyone at 38th Street is so professional and kind. They always listen to my concerns, and give me the BEST treatment plan, that I can afford.
View on GoogleWhat About No-Prep Veneers?
Patients looking for a more conservative way to correct a chipped, poorly shaped, or discolored tooth may qualify for Lumineers. The minimally invasive “no-prep” or “limited-prep” veneer can be placed without needing a local anesthetic or significant modification of your natural tooth. Our dentist will just make a few small changes to the contours of the enamel if needed before bonding the Lumineer shell.
While the ultra-thin design of a Lumineer prevents the restoration from looking bulky against your teeth and gums, they work best for relatively minor dental imperfections. Meanwhile, Lumineers are reversible, so you do not need to commit to future replacements if you decide the treatment is not for you.
Hear From One of Our Happy Patients in Austin
"I have always had the most personal and professional treatments at 38th Street Dental. The staff is so caring. I would tell anyone to go here. They will never disappoint!" Mona Ullrich
Dr. Meek Is a Fellow Of the Academy of General Dentistry
The Academy of General Dentistry has been advancing the field of dentistry since 1952. Fellow status in this organization denotes an elite level of dental skill and knowledge. Dr. Meek became a Fellow by meeting many stringent requirements that included the passage of the AGD Fellowship Exam.
Receive Veneers From Dentists You Trust
A single veneers investment can last for over a decade. Choosing proven, trusted dentists can help ensure you get the long-lasting smile you deserve. Call (512) 458-6222 or write to us to get started.
Candidates for Porcelain Veneers

Do You Have Gum Disease? Our Dentists Can Treat That
A major benefit of choosing truly skilled dentists is comprehensive treatment under one roof. Drs. Meek and Tasch can address gum disease through a deep cleaning known as scaling and root planing.
This process includes the elimination of damaging plaque and bacteria followed by a smoothing of the tooth roots so it is difficult for bacteria to accumulate again. When our dentists perform scaling and root planing, gum disease is typically stopped in its tracks. This means no further gum disease treatment is needed.
What to Expect During the Veneers Procedure
Take a look at the timeline for traditional porcelain veneer treatment at our Austin dental office.
Patients can enhance a single tooth, or transform the aesthetics of their entire dental arch with this highly customizable procedure
Ready to Schedule a Consultation
for Porcelain Veneers?
Get Started on Your Journey Today
If you have any questions regarding what you can expect during the procedure, reach out to our practice by giving us a call or sending us a message online today.
(512) 458-6222
More High Praise for Our Austin Practice
I was recommended this office by a coworker. I was so nervous because I don’t like the dentist and I had not had a cleaning in a while. From the front office staff to the hygienists to my dentist I felt a very warm welcome!... The whole experience was pain free and all of my questions were answered. If you have dentist anxiety this is the place for you, trust me! :)
View on GoogleI received fantastic care from the first contact by phone, and then from moment I walked in through the door until I left. Dr. Meek is fantastic as are all of the other staff!! I received wonderful care and attention throughout my visit. 5++stars
View on GoogleTaking Care of Your Porcelain Veneers
Brush Twice Daily
Brush your teeth twice a day for at least two minutes to give you enough time to clean all of your teeth, including the ones that have veneers. Brush your teeth, tongue, and gums with a soft-bristled toothbrush to keep your mouth free of harmful bacteria. Keep in mind you should avoid certain types of toothpaste that contain harsh abrasives, as these products may damage your new veneers.
Be Mindful of Bad Habits
Porcelain veneers are formidably durable; however, they aren’t indestructible. While most normal foods shouldn’t present a problem, avoid chewing on excessively hard materials that can cause your veneers to chip or break. Steer clear of chewing on items such as pens, nails, and ice. Additionally, refrain from using your teeth to open packages.
Visit Our Dentists Regularly
We recommend scheduling professional teeth cleaning and an oral examination every six months. When you visit our Texas practice for teeth cleaning, we’ll be able to gently scrape away plaque and tartar that may have been missed during your regular oral hygiene routine, and we can use these appointments to assess the condition of your porcelain veneers.
Dental Anxiety? We Offer Soothing Sedation
Oral Sedation
Oral sedation is administered via a prescription medication. After consulting with you about your needs, our dentists can prescribe a pill to be taken roughly an hour before your procedure. This option puts you in a dreamlike state while allowing you to remain awake and responsive throughout care.
Nitrous Oxide
Nitrous oxide, commonly referred to as laughing gas, is administered through a breathing mask placed over your nose. It causes feelings of euphoria, eliminating all-too-common dental discomfort and fear. The effects dissipate shortly after the gas is turned off, allowing you to safely drive home.
Are There Any Risks Associated with Veneers?
Porcelain veneer treatment poses very few risks when performed by skilled dental professionals. The team at 38th Street Dental uses the latest technology to increase the accuracy of treatment and prevent unwanted complications. Side effects are rare and include dental sensitivity and damage to the deeper layers of tissue. However, sensitivity usually subsides after a few weeks. Our meticulous dentists have decades of experience with porcelain veneers and carefully execute our treatments to ensure your comfort and ultimate satisfaction.
Should I Repair or Replace My Veneers?
While veneers can last over a decade with proper maintenance, they will eventually need to be replaced. Our dental practice serving Austin, TX, can address repairs or place beautiful new veneers that reinvigorate your smile and give you that day-one look again.
If you notice any of the following, turn to our cosmetic dentistry team to determine whether your veneers should be repaired or replaced.
Your Veneers Are Chipped or Cracked
If your veneers exhibit noticeable damage in the form of chips, cracks, scratches, or other imperfections, it may feel like the whole purpose of your cosmetic restoration is defeated. Whether they have incurred physical damage or were improperly fit to your natural bite, we have the tools necessary to restore an aesthetically pleasing smile.
Your Teeth Appear Dark or Stained
If the teeth underneath your veneers are getting darker, the color will show through translucent veneers. Leaky veneers can also promote tooth decay. If you are concerned that your smile isn’t as dazzlingly white as it once was, our dentists can get to the root of the issue. In some cases, your veneers will simply need to be re-bonded.
Your Veneers Don't Fit Properly
Typically, veneers are custom-made to fit perfectly on top of your teeth. However, if your teeth aren’t measured correctly, your cosmetic restorations may wind up being too large to fit comfortably in your mouth. Ill-fitting veneers not only shortchange you in terms of aesthetic appearance but may cause discomfort, as well. If you need your veneers to be a different shape or size, our dental team is ready to help.
Hear What Patients Have to Say About Our Austin Practice
As a patient for almost 12 years I could not be happier with the service and people at 38th St. Dental!!
View on GoogleExperience for the last 7 years has been nothing short of excellent! I can't imagine going anywhere else!
View on Google





