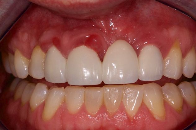
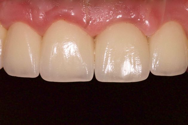
Dental Implants for Multiple Front Teeth: Case 4
Description
This client presented as a dental emergency. The roots of his four-tooth bridge placed just 18 months prior fractured. Four dental implants were placed along with teeth the same day. Four months later, the provisional teeth were replaced with these four individual ceramic dental crowns that are each supported by their own dental implant. Natural look for such a devastating dental emergency.



