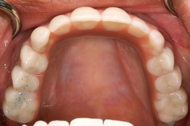
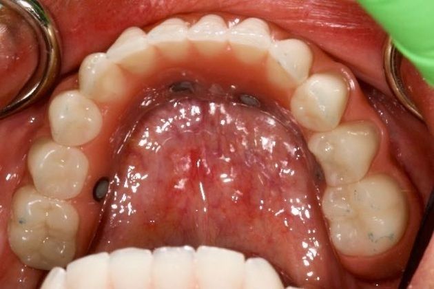
All On 4 Full Arch Restoration - The Fixed Hybrid: Double Arch Rehabilitation with All On 4 Full Arch Hybrid Restorations
Description
This patient sought our help all the way from The Valley. She drove six hours to work with Dr. Widner and I across two years to successfully complete her transformation with dental implants. Her case required extensive bone grafting and extended treatment times. Regardless, a fantastic transformation for the replacement of ALL her teeth in one surgery.





