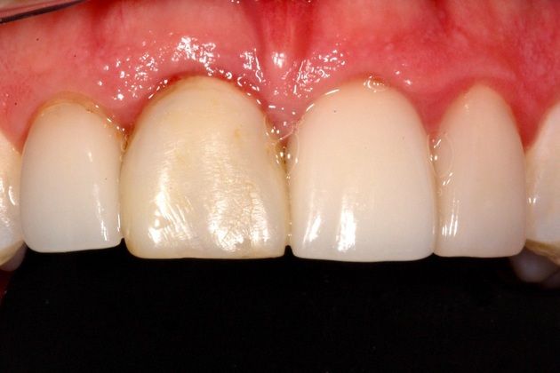
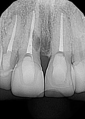
A Basket of Different Dental Implant Cases: External Resorption of Anterior Tooth Roots
Description
Internal or external resorption of roots is an idiopathic condition affecting teeth in traumatic occlusion. It is a "silent killer" of teeth. We recently completed a case where one tooth had to be replaced with a dental implant and the other required a new dental crown following the exploration of its root for evidence of internal resorption. The Nobel Biocare implant system was used and the patient never went without a tooth. Immediate temporization during the surgery to remove the root was deployed and the patient was not inconvenienced by a removable temporary solution.





