Infection can lead to swelling, bleeding, tooth sensitivity, and other painful symptoms. Fortunately, dental crown treatment starts with cleaning out decay to address the source of your discomfort.
Dental Crowns in Austin, TX
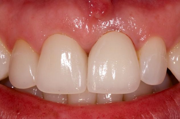
When you choose the right practice, dental crowns can do much more than repair or replace teeth. They can make your entire smile look better and give you elevated confidence.
38th Street Dental in Austin, TX, provides crowns that are indistinguishable from natural teeth.
Our Crowns Look Completely Natural
Why Austin Chooses 38th Street Dental for Crowns & Much More
Experience
Whether you need a crown to restore a damaged tooth or to improve its cosmetic appearance, Dr. Tasch and Dr. Meek at 38th Street Dental in Austin, TX, can help. Our dentists have advanced training in both cosmetic and restorative dentistry to create a crown that is beautiful, reliable, and comfortable.
Technology
Our practice invests in advanced technology that results in quicker and more accurate dentistry, from digital X-rays to cone-beam computed tomography for a 3D view of the structures in your mouth. If a crown is paired with an implant to replace a missing tooth, our technology optimizes implant placement for long-lasting results.
Quality Materials
Our dentists are skilled in designing crowns with both traditional dental materials like porcelain and high-performing materials such as IPS e.max®. This wide-ranging expertise allows our dentists to offer patients the appropriate dental material for their situation and create crowns that look like a natural tooth.
Preview Your Crown Results Using Our Advanced Technology
Our dentists want patients at our Austin dental office to feel comfortable when committing to treatment, so they offer previews for dental crown placement. They can create a wax-up model of your new smile so you can have a good idea of how it will look at the end of treatment. That way, you can move forward with your dental treatment with confidence.
We're Ready to Repair Your Smile Request a Consultation Today
Are you worried about a broken tooth? Do you have a misshapen tooth that lowers your confidence? Dr. Mike Meek and Dr. David Tasch will listen carefully to your goals and explain the treatment options that can give you a smile you'll love.
While our practice takes advantage of the latest in technology to make dental care accurate and comfortable, we never lose sight of the fact that it's the people at our Austin, TX, dental office who make your care memorable.
We are always honest and aim to be a safe place where you can come for trusted dental opinions. If you have a tooth that needs care, request a consultation online or by calling:

Austin Loves Our Work
I highly recommend both doctors Meek and Widner. Another dentist botched an implant, leaving me with critical upper-jaw bone loss. Oral surgeon Dr. Widner stopped the bone loss and carefully inserted posts for two implants. He then sent me to dentist Dr. Meek (who is on the same floor) to craft the teeth. Dr. Meek did so well that I’ve remained his patient. This week he repaired a tooth where the back side had sheered off due to my underbite. He fixed it so well that I can’t tell I ever had a problem.
View on Google
I recently changed jobs and I never for one second thought to check and see if Dr. Meek accepted my new insurance...because it wouldn't have mattered. I would pay out of pocket...and may still end up doing that...totally fine with that. It's not just Dr. Meek...it's his entire staff from top to bottom and that has always been the case since my first visit there. You couldn't be in better hands... literally.
View on Google
We Make
Dental Crowns
Affordable
/
Our Austin team believes that financial hurdles shouldn’t stand in the way of you and a healthy, beautiful smile. That’s why our practice has options to help make this solution more accessible than ever. We offer flexible financing with CareCredit® and LendingClub so our patients can get the care they need. We also work with insurance companies to maximize your benefits.
A Versatile Solution By a Caring and High-Tech Practice

Dental crowns are tooth-shaped caps that completely encase a tooth. They can protect and strengthen a tooth weakened by trauma or decay, camouflage a misshapen tooth, or even act as a stand-in for a missing tooth when paired with dental implants.
A dental crown solves many of the problems patients bring to us and allows us to restore their smiles. We may recommend a dental crown to:
- Restore a tooth extensively damaged by decay or trauma
- Protect a tooth after root canal therapy and restore its shape
- Improve a tooth's shape or size to create a more beautiful smile
- Replace a missing tooth by pairing a crown with a dental implant
- Secure a traditional dental bridge to replace missing teeth
Relieve Pain & Other Symptoms
Restore Dental Function
Tooth loss or decay can negatively impact day-to-day oral function, such as chewing comfortably and speaking clearly. A crown is designed to let you eat the foods you love and speak with clarity.
Protect a Weakened Tooth
A dental crown acts as a barrier between your affected tooth and irritants that can take a toll on its health and structure, including bacteria, acids, and food particles.
Improve Your Appearance
Tooth decay or missing teeth can make you feel self-conscious about your smile. Our dentists construct crowns that match the shade of our patients’ natural teeth.
“I feel incredibly grateful that I found this team of people.”
Alice lost her natural tooth while eating. She then began the same journey you may be on now. We were able to keep her calm and confident throughout her dental treatment and she is now truly happy with her teeth.
We Want to Answer Your Questions
Over the years, the field of dentistry has made incredible strides in terms of patient care, treatment efficacy, and sophisticated technology. Our dentists make the most of what modern dentistry has to offer — and implement new and improved materials, techniques, and other best practices that provide you with a smile you’re ecstatic about. At our Austin dental office, education is a significant priority in three different ways:
- Patient Education: From your initial consultation to placing your permanent crown, we will keep you educated and informed. That way, you can leave our office feeling confident about your treatment, results, and continued at-home care.
- Our Education: Our dentists, Dr. Meek and Dr. Tasch, never stop learning. They pride themselves on pursuing continued education, allowing them to bring new methods and technologies to our practice.
- Professional Education: Dr. Tasch studied at the #1 ranked dental school in the nation. Dr. Meek is an authority in his field, and even teaches other dental professionals about Nobel Biocare™, a company that creates dental implants.

"Dr. Meek and his staff are wonderful! They are gentle and kind and always go above and beyond to keep my teeth healthy! I was born with terrible teeth and have required several crowns. I would never let anyone but Dr. Meek do this work. He is super meticulous with color and fit and has successfully repaired prior dental work that was done in another state. He also has a great sense of humor. Love this guy!" - Anne Robinson
Sedation Dentistry Makes Treatment Comfortable
/
Whether we’re placing a single crown over a weakened tooth or crafting several dental implants to restore form and function to your smile, with us, patient comfort comes first. If you experience anxiety about dental care or have trouble sitting for long periods, we offer oral conscious and nitrous oxide sedation to make your procedure more comfortable.
We Understand Your Needs
If you don't feel confident in your smile, you may do everything you can to hide your teeth. This can create a shadow over some of the best parts of life, like talking, eating, and laughing.
We've seen this before — and it's our goal to get you smiling again with a dental crown. From our caring attitudes to our continued education, we aim to keep you comfortable and confident throughout the process.
After your consultation, you'll be one step closer to relief. To begin, contact our friendly Austin, TX, staff or call us at:
(512) 458-6222

Find a Beautiful New Smile
Why Austin Chooses 38th Street Dental
Everyone was very friendly, there was a miss communication and they handled it perfectly. I would deeply recommend this. Mis communications happen all the time and yet a business that handles it perfectly and the way you as a customer would want, makes me want to recommend 38th street dental to everyone!! Highly suggest them! 5 star
View on GoogleI’ve been looking for a new dentist since I relocated to Austin. I had my first appointment with Dr Mike Meeks today and would like to say I am very happy with the service. Dr. Meeks performed a very thorough exam and recommended a clear plan for one new crown and all services going forward. The process, timeframe and price was very clear. My regular routine cleaning and x-rays went very well. Xaviera - the dental hygienist - was extremely proficient and gentle and explained each phase of the procedure. Thank you for great service.
View on GoogleChoosing the Right Type of Crown Material It's an Art and a Science
Dentists have a wide variety of ceramic dental materials to choose from today, from porcelain crowns to zirconia, but it takes a skilled dentist to select the right material for a specific procedure.
Crowns at the front of the mouth require a high degree of aesthetic appeal while crowns at the back need to withstand the daily grinding forces that occur with every meal. We can make crowns out of metal, porcelain-fused-to-metal, porcelain, zirconia, and IPS e.max to address these varied situations.
Our knowledgeable dentists in Austin will carefully balance all the factors in selecting your crown material to ensure it has the beauty and durability you'll appreciate for years to come.

It Only Takes Two Appointments To Get a World-Class Crown
Our Austin dental practice combines high-tech services with personalized dentistry to make treatment comfortable and the results long-lasting. Patients needing a root canal or other dental care will have additional steps in their treatment plans, but generally, dental crown placement will follow along these lines:
We offer fully personalized treatment plans based on your goals and create crowns using high-quality dental materials such as zirconia, IPS e.max, and porcelain for years of dependable smiles.
Ready to Smile Again?
An Austin, TX, Practice Patients Trust
Great visit! Very thorough and considerate. Dr. Tasch and his dental assistant worked so well together, and made me feel comfortable the entire time. Can't say enough great things about this Practice.
View On GoogleI’m just stunned at the level of care this practice gives and the love and support they offer their patients. I definitely recommend 38th Street Dental to Everyone! I am excited about My Treatment at this Office Dr. Tasch and His Entire Staff being My New Dental Home!!
View On GoogleA Look at Dental Implants and Implant-Supported Crowns
If there's no way for our team to save your tooth and we have to extract it, we can replace it with a crown and dental implant. Implant-supported crowns offer a variety of benefits after tooth loss:
- The implant stimulates your jawbone, preventing jawbone atrophy.
- The crown restores your smile above the gumline, allowing you to eat, speak, and smile with confidence.
- The restoration fills the gap in your smile to keep surrounding teeth in alignment, preventing bite issues.
Our Austin dentists are uniquely qualified to place your dental implants. Dr. Tasch has received advanced training in dental implant placement and Dr. Meek is so adept at the procedure, he lectures on behalf of Nobel Biocare.

"This has been my dental office since 2011 and my experience on every visit has always been outstanding. Whether it is communicating with front desk staff, treatments by the dental hygienist or exams and dental work by Doctors Meek and Tasch, I am always treated professionally and with expertise. I have had fillings replaced, crowns made (both dentists do beautiful work) and bi-annual cleanings. This office is the best and I highly recommend them!"
Lydia Palace
Answers to Frequently Asked Questions About Dental Crowns
Is getting a crown painful?
We do everything we can to minimize pain when placing crowns or dental implants, like using gentle techniques and administering sedation if necessary. While you may experience tooth, gum, or jaw pain in the days after your appointment, you can manage it with pain relievers and cool compresses.
When should I replace my crown?
If your crown becomes loose or comes out of place completely, request an appointment with our Austin dentists. We may be able to put your crown securely back into place. Through your regular dental checkups, our team will keep an eye on your restoration and let you know when it's time for a new one.
Can I Just Have the Tooth Pulled?
If you’re faced with a decayed or decaying tooth, you may be wondering if simply extracting it is the right course of action — especially if you’re not worried about a gap being noticeable. However, our dentists will always save a tooth when it’s viable to do so. Having a tooth pulled risks the alignment of your other teeth, which can cause bite issues down the line. Additionally, a missing tooth root can result in bone loss and make chewing and biting substantially more challenging.
To learn more about the risks of not pursuing a restorative solution — such as an implant-supported dental crown — after tooth extraction, we encourage you to get in touch with our team today.







