Temporaries-With Dental Implants, The Temp makes the case By Dr. Meek on November 01, 2021

bonded composite implant temporarypost op dental implant

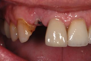
One of my long time patients showed up last week while I was out of town with his lateral incisor broken in a way we could not repair.  He was referred to our partner surgeon where the unuseable root was removed and a dental implant placed.  Now what?  Big old hole in the grill is not okay!

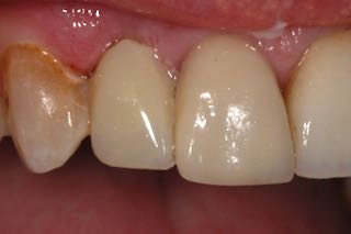
We saw Mike today and used a little piece of fiberglass ribbon and two shades of Cosmedent composite to build a cantileivered temporary over the site.  This is held harmlessly with surface bonding to the neighboring teeth.  This will be removed gently with polishing points when treatment is completed making it possible to have a tooth.

This is the sort of care taken of the "whole person" in our practice.  What good is a dental implant if there is no smile to show it off.  We want you smiliing from start of reconstruction to the very end.  Fixed temporaries make the process of reconstruction less stressful because one's self esteem is supported by our smiles.  A great temp makes all the difference in how confident a patient feels when they are affected by tooth fracture or loss.

The team at 38th Street Dental

38th Street Dental

38th Street Dental in Austin, TX, utilizes the latest proven technology to provide you personalized dental care. Dr. Meek and Dr. Tasch are members of local and national dental associations, including:

  • The American Dental Association
  • The Texas Dental Association
  • The Academy of General Dentistry
  • The Capital Area Dental Society

To schedule an appointment, call us at (512) 458-6222 or contact us online today!

Get In Touch Today

Contact Us

Fields With Are Required
You can also call us at (512) 458-6222. This site is protected by reCAPTCHA and the Google Privacy Policy and Terms of Service apply.

Rate, Review & Explore

Social Accounts Sprite