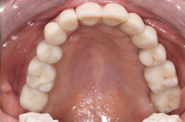
Full Arch Reconstruction with Individual Dental Implant Teeth

The team at 38th Street Dental

38th Street Dental

38th Street Dental in Austin, TX, utilizes the latest proven technology to provide you personalized dental care. Dr. Meek and Dr. Tasch are members of local and national dental associations, including:

  • The American Dental Association
  • The Texas Dental Association
  • The Academy of General Dentistry
  • The Capital Area Dental Society

To schedule an appointment, call us at (512) 458-6222 or contact us online today!

Get In Touch Today

Contact Us

Fields With Are Required
You can also call us at (512) 458-6222. This site is protected by reCAPTCHA and the Google Privacy Policy and Terms of Service apply.

Rate, Review & Explore

Social Accounts Sprite