Closing the gap-Bonding as a solution for orthodontic diastemas
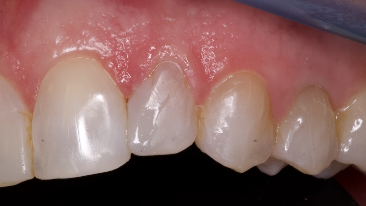
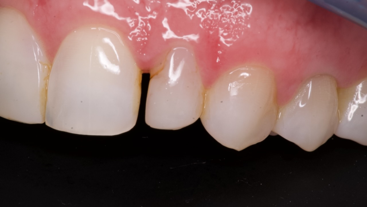
A long time patient came to me as her clear aligner case finsihed and she wanted me to help finsih out her orthodontics case. Her treatment plan from the orthodontist required space to be left around her left maxillary incisor due to a width difference between the two incisors. After a brief consult to review needs adn expectations, we set a date to close the diastema with composite bonding. This mode of restorative dentsitry was selected due to it's conservative nature and need for no reduction of tooth structure. We worked for about 45 mins to meet the demands of the case. Shade was a mixutre of a D2 body shade veneered by a medium incisal composite. Polished and adjusted, we put a bigger smile on the face of our diastema case! Check out her result!


