Did the Pandemic Impact Your Oral Health...Short Answer is, Yes!

Late in the summer of 2020 I began reading different little tidbits from my Google newsfeeds about higher rates of decay and fractured teeth beginning to emerge. Now we all realize that a lot of what crosses these feeds are click bait, and I keep this in the forefront of my mind when browse; however, in the months since and as my patients move through in ever increasing volume, I realize, IT IS TRUE!
Last fall, as whatever wave it was ran through the U.S. and we had all begun to feel the weight of the banal socially distanced routine, I began to see “exaggerated” presentations of dental disease in otherwise previously stable, healthy patients. The idea of the “pandemic dental penalty” began to bubble in my mind.
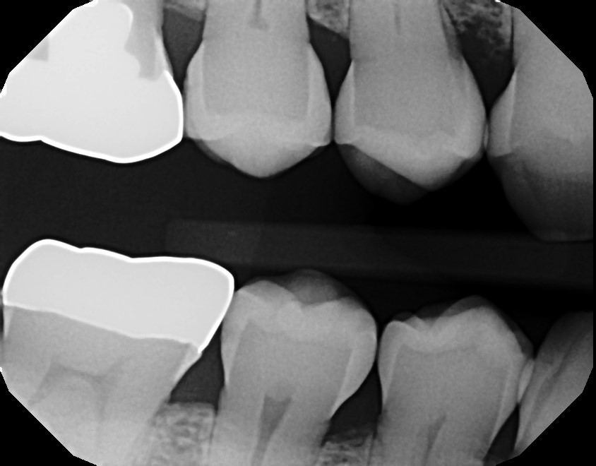
Well, last week it hit home for me. A longtime patient and friend of our practice stopped in for his routine exam and cleaning. As I reviewed his radiographs, I saw a fairly significant bit of decay on his #29(lower right bicuspid). Since we diagnose with digital radiographs, I was able to see his history with in this area of his dentition. As I looked at his exam from late 2019, all of the bits of broken teeth, exacerbated gum disease, and “surprise” cavities solidified for me.
Bottom line is that the pandemic has affected all of us in profound ways. It isn’t at all unreasonable that some of those effects included changes in personal hygiene or diet. They also include the obvious negative pressure has placed on anyone prone to anxiety or depression…think bruxism, or teeth grinding.
Getting back to the dentist is essential for all of us. With the Airborne Transmission Prevention protocols we have in place, safety is assured. If you are reading this blog then you are thinking about coming to visit. I assure you, it’s the right thing to do given the year we have had. I know I need to see my dentist, Dr. Tasch, to tend to a tiny missing filling. Let’s get to the dentist together.
Dr. M

